Диагностика
О генетических патологиях чаще всего можно узнать, пока женщина еще вынашивает ребенка. Это касается и трисомий. Скрининг беременности проводят с 11-й по 13-ю неделю. Женщина сдает анализы крови (биохимию), проводится УЗИ. Также диагностика заключается в определении каротипа эмбриона, если женщина находится в группе риска (отягощенный семейный анамнез, инфекционные болезни в первом триместре и т. д.).

В скрининге первого семестра определяют, сколько в крови хорионического гормона человека и плазменного протеина А ассоциированного с беременностью. Потом учитывают возраст беременной, чтобы узнать, с каким риском у нее может родиться ребенок с трисомией 18.
Если женщину отнесли в группу риска, чуть позже делают биопсию плода, чтобы точно знать, родится ли ребенок с отклонениями, или здоровый. С 8 до 12 неделю берется анализ ворсин хориона. С 14 по 18-ю неделю проводится изучение вод, окружающих плод. После 20-й недели могут сделать кордоцентез. Процедура подразумевает, что возьмут крови из пуповины (в процессе применяется ультразвук для контроля взятия материала).
В материале обнаруживают количество хромосом. В этом помогает метод КФ–ПЦР. При условии непрохождения беременной генетического скрининга на поздник сроках гестации делают предварительную диагностику генетической мутации методом ультразвукового исследования. Во втором и третьем триместре есть признаки, которые говорят о том, что ребенок с большой вероятностью родится с трисомией:
- заячья губа
- низко расположенные уши плода
- микроцефалия
- волчья пасть
- пороки опорно–двигательного аппарата
- пороки развития мочеполовой системы
- пороки сердца и сосудов
Типы синдрома Эдвардса
Симптомы и степень поражения данным заболеванием обычно зависят от того, есть ли у него полный, мозаичный или частичный синдром Эдвардса.
Полный синдром Эдвардса
У большинства детей с синдромом Эдвардса дополнительная хромосома 18 присутствует во всех клетках. Тогда ребенку ставят диагноз “полный синдром Эдвардса”. Опасность полного синдрома Эдварда для эмбриона более высокая и, к сожалению, большинство детей с этой формой заболевания умирает до того, как родятся.
Синдром мозаики Эдвардса
Некоторые дети с синдромом Эдвардса (примерно 1 из 20) имеют лишнюю 18-ю хромосому лишь в некоторых клетках. Тогда ставится диагноз “мозаичный синдром Эдвардса” (мозаичная трисомия 18). Эта форма заболевания проявляется в более мягкой форме и зависит от количества и типа клеток, у которых есть лишняя хромосома. Большинство новорожденных с этим типом синдрома Эдвардса смогут дожить до взрослого возраста.
Частичный синдром Эдвардса
У очень небольшого числа детей с синдромом Эдвардса (примерно 1 из 100) в клетках имеется только часть дополнительной хромосомы 18, а не целая дополнительная хромосома. Тогда ребенку ставят диагноз “частичный синдром Эдвардса” (частичная трисомия 18). Как частичный синдром Эдвардса влияет на качество жизни ребенка, зависит от того, какая часть хромосомы 18 присутствует в его клетках.
О механизме наследования
Большинство случаев синдрома не наследуются. Он возникает из-за случайных событий во время образования яйцеклетки и спермы. В результате ошибки в делении возникает репродуктивная клетка с неправильным числом хромосом. Например, у сперматозоида или яйцеклетки может появиться добавочная копия хромосомы 18. Когда одна из таких нетипичных репродуктивных клеток вносит вклад в генетический состав ребёнка, у него во всех клетках будет дополнительная хромосома 18.

Также не наследуется мозаичная трисомия 18. Она обусловлена случайными событиями при делении клеток в начале эмбрионального развития. В итоге отдельные клетки содержат две копии хромосомы 18, а другие — три копии этой хромосомы.
Может быть унаследована транслокационная трисомия. Незатронутый человек несёт перегруппировку генетического материала между хромосомой 18 и другой хромосомой. Хотя у него нет признаков трисомии 18, человек, у которого есть этот тип транслокации, подвергаются повышенному риску иметь детей с этим генетическим расстройством.
Частота хромосомных аномалий плода:
Хромосомные аномалии плода могут быть спонтанными, спорадическими и возникать даже у молодых и здоровых женщин, ведущих правильный образ жизни и не имеющих хронических заболеваний. Не всегда удается проследить связь с каким-либо фактором, который мог привести к этому. Именно поэтому пренатальная диагностика сейчас рекомендуется и проводится абсолютно всем беременным.
Частота хромосомных аномалий плода составляет от 1 случая на 700 рождений (для болезни Дауна) до 1 случая на 6 000-7 000 рождений для более редких синдромов. С увеличением возраста беременной частота хромосомных аномалий возрастает, возраст отца имеет несколько меньшее значение. Особенно большое значение пренатальная диагностика приобретает в случаях, когда у женщины имеется повышенный риск рождения ребенка с хромосомными отклонениями:
- возраст беременной более 35 лет, особенно – более 39 лет
- возраст отца более 45 лет
- случаи рождения ребенка с врожденными аномалиями у ближайших родственников или у самой женщины
- длительное бесплодие и неудачные попытки ЭКО в анамнезе
- прием беременной до зачатия ряда серьезных медикаментозных препаратов – цитостатиков, глюкокортикоидов и др.
Виды
Медицинское современное сообщество делит синдром Эдвардса на следующие виды:
1) Разновидность полной трисомии – когда клетки пациента хранят внутри своего состава лишние хромосомы, считается одной из самых тяжелых и распространенных форм заболеваний;
2) Частичной трисомии – когда дополнительная хромосома образуется в патогенных клетках;
3) Мозаичной формы – когда чуть меньшее количество клеток пациентов обладают нестандартными характеристиками их характеристик, локализируемых в разнообразных областях внутреннего организма или частей тела, так и только в одном месте.
Какие заболевания выявляет НИПТ?
Существует несколько различных методик проведения НИПТ, к примеру Prenatest, Veracity, Prenetix, Iona test и др. Они отличаются набором тестируемых аномалий и соответственно, стоимостью теста. Минимальный набор включает наиболее часто встречающиеся хромосомные аномалии (синдром Дауна, синдром Патау и Эдвардса), расширенный – может включать анализ не только количества хромосом в геноме плода, но и микроделеции (повреждения отдельных участков хромосом). Кроме того, дополнительно при проведении НИПТ при желании родителей бесплатно проводится определение пола плода.
В каждом конкретном случае наиболее правильным подходом будет предварительная консультация с врачом акушером-гинекологом или генетиком для определения необходимого объема тестирования. Также, не менее важна правильная интерпретация результатов самого теста врачом генетиком.
Синдром Эдвардса — симптомы
Обычно синдром Эдвардса выявляют во время беременности с помощью специальных пренатальных тестов. Это дефект, который обычно вызывает самопроизвольный выкидыш на ранних сроках беременности. Однако, если беременность сохраняется, ребенок рождается с набором дефектов и симптомов, которые возникают в результате наличия дополнительной хромосомы 18.
Эти дефекты могут иметь различную степень тяжести, и это зависит, прежде всего, от типа генетического нарушения (есть ли только дополнительный фрагмент или целая хромосома). Наиболее частые симптомы включают:
- Низкий вес при рождении.
- Микроцефалия.
- Расщелина губы или неба.
- Маленькая нижняя челюсть.
- Широкое расстояние между глазами (гипертелоризм), опущение верхнего века.
- Деформация стопы.
- Большие пальцы рук и / или ногти не полностью развиты.
- Нет лучевой кости.
Расщелина губы
Симптомы
Проявления болезни делят на несколько групп. В первую причисляют те, что характеризуют внешний вид больного человека:
- вес тела при рождении составляет примерно 2кг 100 грамм или 2 кг 200 грамм
- ненормально развитая нижняя или верхняя челюсть
- голова маленькая по отношению ко всему телу
- расщелина верхней губы и/или твердого неба
- неправильный прикус и неправильная форма лица ребенка
- стопа-качалка
- косолапость от рождения
- перепонки на пальцах ног или полное слияние пальцев
- уши низко посажены
- пальцы кисти сжаты, наблюдается неровное их расположение в кулачке
- ротовая щель меньше, чем должна быть
Вторая группа симптомов болезни касается нервно-психической сферы, моторики и функции органов больного ребенка:
- пупочная или паховая грыжа
- врожденные пороки сердца, включая открытый артериальный проток, дефект межжелудочковой перегородки и т.п.
- сглаживание или атрофия мозговых извилин
- недоразвитость мозжечка, мозолистого тела
- умственная отсталость
- задержка нервно–психического развития ребенка
- нарушение локации кишечника
- меккелев дивертикул
- атрезия пищевода или заднего прохода
- нарушение глотательного и сосательного рефлекса
- ГЭРБ
- удвоение мочеточников
- подковообразная или сегментированная почка
- недоразвитость яичников у девочек
- гипертрофированный клитор у младенцев женского пола
- гипоспадия у младенцев мужского пола
- крипторхизм у больных мальчиков
- атрофия мышц
- сколиоз
- косоглазие
Как часто встречается эта патология?
Дети с синдромом Эдвардса погибают на этапе внутриутробного развития приблизительно в 60% случаев. Несмотря на это, среди генетических заболеваний данный синдром у выживших младенцев является достаточно распространенным, по частоте встречаемости уступая только синдрому Дауна. Распространенность синдрома Эдвардса составляет 1 случай на 3 — 8 тысяч детей.
Смертность при синдроме Эдвардса на первом году жизни составляет около 90%, причем средняя продолжительность жизни при тяжелом течении заболевания у мальчиков — 2–3 месяца, а девочек — 10 месяцев, а до взрослого состояния доживают лишь единицы. Чаще всего дети с синдромом Эдвардса умирают от удушья, пневмонии, сердечно–сосудистой недостаточности или кишечной непроходимости — осложнений, вызванных врожденными пороками развития.
Подготовка к обследованию
Кариотипическое исследование – это исследование, которое можно проводить у пациента один раз в жизни, так как его результат остается неизменным. При этом на обследование не влияют никакие факторы: прием пищи, физические нагрузки, прием лекарств. Подготовка к анализу не требуется.
Кариотипирование проводится с помощью образца венозной крови, взятого у пациента из локтевого сгиба. В обоснованных случаях (например, при пренатальной диагностике) кариотипное исследование может проводиться, например, с использованием околоплодных вод или материала из биопсии ворсин хориона.
В случае классического исследования кариотипа цитогенетическими методами, из взятого у пациента образца крови выделяют лимфоциты и подвергают клеточной культуре in vitro. Затем их рост и размножение ингибируются (подавляются) в тот момент, когда хромосомы лучше всего видны, то есть на стадии метафазы клеточного цикла (фазы деления клеток).
Затем хромосомы окрашивают красителями и подвергают микроскопическому анализу для оценки их количества, размера и структуры, среди прочего, путем оценки участков, видимых после окрашивания.
Лечение синдрома Эдвардса
На данный момент не существует лечения от синдрома Эдвардса. Терапия будет сосредоточена на симптомах заболевания, таких как сердечные заболевания, затрудненное дыхание и инфекции. Вашему ребенку также может потребоваться кормление через зонд. Синдром Эдвардса влияет на двигательные способности ребенка, когда он становится старше, ему может быть полезно поддерживающее лечение, такое как физиотерапия. В зависимости от конкретных симптомов маленькому пациенту может потребоваться помощь специалиста в больнице или хосписе, или вы сможете ухаживать за ним дома с соответствующей поддержкой.
Анализ на хромосомную патологию плода
Во время беременности женщина проходит множество исследований, которые позволяют контролировать процесс развития плода, своевременно выявлять патологию и предотвращать её развитие. Важнейшим этапом обследования является анализ на хромосомную патологию плода (кариотип). Это особенно касается беременных с наследственными заболеваниями и высоким риском преждевременных родов.
Такие пациенты должны быть проконсультированы генетиком: квалифицированный специалист способен определить вероятность развития у ребенка врожденных аномалий или генетических болезней. Однако все беременные должны проходить рутинное обследование – генетические тесты, так называемы НИПТы (неинвазивные пренатальные тесты).
Кариотипическое исследование – показания
Наиболее распространенные показания к кариотипному обследованию у женщин и мужчин относятся:
- Акушерские проблемы. Трудности с беременностью и вынашиванием беременности, повторные выкидыши, мертворождения;
- Рождение ребенка с пороками развития;
- Подготовка к экстракорпоральному оплодотворению.
В случае диагностики заболеваний, не связанных с попытками продолжения рода, предпринятыми парой, показание к исследованию кариотипа – подозрение на генетическое заболевание вследствие:
- аномального фенотипа и пороков развития;
- интеллектуальной и психической задержки;
- особенностей из спектра аутизма;
- отсутствия полового созревания, включая аменорею, дефицит роста, аномальное строение половых органов;
- семейного анамнеза, отягощенного больным потомством (врожденные дефекты или множественные выкидыши).
Если результаты неинвазивных пренатальных тестов, выполненных у беременной пациентки, указывают на возможность хромосомных аберраций у плода, также целесообразно кариотипирование из образца околоплодных вод.
В таких случаях необходимо будет проконсультироваться с генетиком, который представит возможные последствия той или иной ситуации.
Причины
При отсутствии в анамнезе семьи данного заболевания, при абсолютном здоровьем родителей, всё равно есть риск рождения ребенка с данным заболеванием. Науке известно, что клетка человека включает 46 хромосом. В яйцеклетке и сперматозоиде находится по двадцать три хромосомы. Когда они объединяются, то объединяется и количество хромосом. Причины синдрома Эдвардса на сегодняшний день изучены недостаточно.
Исследователи говорят, что вследствие мутаций генов формируется в 18-й паре хромосом одна лишняя. В 2 случаях данной болезни из 100 восемнадцатая хромосома удлиняется, при этом 47-й хромосомы не формируется, а происходит транслокация.
В трех случаях болезни из ста врачи говорят о мозаичной трисомии. Это значит, что лишняя хромосома присутствует только в части клеток организма плода, а не абсолютно во всех. Но по симптомам три описанные варианта болезни сходятся. Только в первом случае течение может быть тяжелым и больше шансов летального исхода.
Лечение синдрома Эдвардса
Как и при других генетических заболеваниях, вызванных хромосомными аномалиями, прогноз для детей с синдромом Эдвардса неутешительный. Многие из них погибают сразу при рождении или в течение нескольких дней, несмотря на оказанную медицинскую помощь. Девочки могут прожить до десяти месяцев, мальчики погибают в течение первых двух-трех. Только 1% новорожденных доживает до десятилетнего возраста, при этом о самостоятельности и социальной адаптации не может быть и речи из-за серьезных нарушений интеллекта.
Больше шансов выжить в первые месяцы у пациентов с мозаичной формой синдрома, так как повреждения касаются не всех клеток организма. Мозаичная форма встречается в случае, если хромосомные аномалии произошли на этапе деления зиготы, уже после слияния мужской и женской половых клеток. Тогда та клетка, в которой было нерасхождение хромосом, из-за чего образовалась трисомия, при делении дает начало аномальным клеткам, что и провоцирует все патологические явления. Если же трисомия произошла на этапе гаметогенеза с одной из половых клеток, то аномальными будут все клетки плода.
Лекарственного средства, которое могло бы повысить шансы на выздоровление, не существует, так как пока не представляется возможным вмешательство на хромосомном уровне во всех клетках организма. Единственное, что может предложить современная медицина – симптоматическое лечение и поддержание жизнеспособности ребенка. Коррекция патологических явлений, связанных с синдромом Эдвардса, может улучшить качество жизни пациента, продлить ее срок. Хирургическое вмешательство при врожденных пороках развития нецелесообразно, так как влечет большие риски для жизни пациента и имеет множество осложнений.
Больные с синдромом Эдвардса с первых дней жизни должны наблюдаться у педиатра, так как они очень уязвимы для возбудителей инфекции. Среди новорожденных с данной патологией часто встречаются конъюнктивит, инфекционные заболевания мочеполовой системы, средний отит, синусит, пневмония.
Родителей ребенка с синдромом Эдвардса часто беспокоит вопрос – можно ли рожать еще раз, какова вероятность того, что следующая беременность также будет патологической. Исследования подтверждают, что риск повторного явления синдрома Эдвардса у одной и той же супружеской пары очень низок, даже в сравнении со средней вероятностью в 1% случаев. Вероятность рождение следующего ребенка с той же патологией составляет примерно 0,01%.
В целях своевременной диагностики синдрома Эдвардса будущим матерям рекомендуется проводить антенатальный скрининг в период беременности. При обнаружении патологий на ранних стадиях беременности можно будет сделать аборт по медицинским показаниям.
Автор статьи: Мочалов Павел Александрович | д. м. н. терапевт
Образование: Московский медицинский институт им. И. М. Сеченова, специальность — «Лечебное дело» в 1991 году, в 1993 году «Профессиональные болезни», в 1996 году «Терапия». Наши авторы
Признаки синдрома Эдвардса
У детей, рождённых с трисомией 18, могут быть некоторые или все из этих характеристик:

- пороки развития почек;
- структурные дефекты сердца при рождении (дефект межжелудочковой и предсердной перегородок, открытый артериальный проток);
- кишечник, выступающий вне тела (омфалоцеле);
- атрезия пищевода (непроходимость пищевода);
- умственная отсталость;
- отставание в развитии;
- дефицит роста;
- трудности с кормлением;
- трудности с дыханием;
- артрогрипоз (тугоподвижность суставов).
Некоторые физические пороки развития, ассоциированные с синдромом Эдвардса:
- небольшая голова (микроцефалия);
- низко расположенные, неправильно сформированные уши;
- аномально маленькая челюсть (микрогнатия);
- расщелина губы / волчья пасть;
- перевёрнутый нос;
- узкие, широко посаженные глаза (глазной гипертелоризм);
- опускание верхних век (птоз);
- короткая грудная кость;
- сжатые руки;
- недоразвитые большие пальцы и / или ногти;
- сращение второго и третьего пальцев ноги;
- косолапость;
- у мальчиков неопущенние яичек.

В утробе наиболее распространённой характеристикой являются аномалии сердца и ЦНС. Наиболее частая внутричерепная патология — наличие кист хориоидного сплетения, которые являются карманами жидкости в мозге. Иногда проявляется избыток амниотической жидкости.
Медицинские офисы KDLmed
- КЛИНИКА 1
- КЛИНИКА 2
- КЛИНИКА 3
АДРЕС:г. Пятигорск, проспект 40 лет Октября, 62/3
ВРЕМЯ РАБОТЫ:пн-пт 7:30 – 18:00
сб 7:30 – 14:00 / вс 8:30 – 13:00
ТЕЛЕФОН:(8793) 330-640
+7 (928) 225-26-74
АДРЕС:г. Пятигорск, проспект 40 лет Октября, 14
ВРЕМЯ РАБОТЫ:пн-пт 7:30 – 18:00
сб 7:30 – 14:00 / вс 8:30 – 13:00
ТЕЛЕФОН:(8793) 327-327
+7 (938) 302-23-86
АДРЕС:г. Пятигорск, ул. Адмиральского, 6А
ВРЕМЯ РАБОТЫ:пн-пт 7:30 – 17:30
сб 7:30 – 14:00
ТЕЛЕФОН:(8793) 98-13-00
+7 (928) 363-81-28
АДРЕС:г. Ставрополь, ул. Ленина, 301
ВРЕМЯ РАБОТЫ:пн-пт 7:30 – 18:00
сб 7:30 – 15:00 / вс 8:30 – 13:00
ТЕЛЕФОН:(8652) 35-00-01
+7 (938) 316-82-52
- КЛИНИКА 1
- КЛИНИКА 2
АДРЕС:г. Невинномысск, ул. Гагарина, 19
ВРЕМЯ РАБОТЫ:пн-пт 7:30 – 18:00
сб 7:30 – 15:00 / вс 8:30 – 14:00
ТЕЛЕФОН:(86554) 7-08-18
+7 (928) 303-82-18
АДРЕС:г.Невинномысск, ул. Гагарина, 60
ВРЕМЯ РАБОТЫ:пн-пт 7:30 – 18:00
сб 7:30 – 13:00
ТЕЛЕФОН:8 (86554) 6-08-81
8 (938) 347-42-17
АДРЕС:г. Нефтекумск, 1-й микрорайон, ул. Дзержинского, 7
ВРЕМЯ РАБОТЫ:пн-пт 7:30 – 17:00
сб 7:30 – 13:00 / вс 8:00 – 12:30
ТЕЛЕФОН:(86558) 4-43-83
+7 (928) 825-13-43
АДРЕС:г. Буденновск, пр. Энтузиастов, 11-Б
ВРЕМЯ РАБОТЫ:пн-пт 7:30 – 18:00
сб 7:30 – 13:00 / вс 8:30 – 13:00
ТЕЛЕФОН:(86559) 5-55-95
+7 (938) 302-23-89
АДРЕС:г. Зеленокумск, ул. Гоголя, д.83
ВРЕМЯ РАБОТЫ:пн-пт 7:30 – 18:00
сб 7:30 – 13:00 / вс 8:30 – 13:00
ТЕЛЕФОН:(86552) 6-62-14
+7 (938) 302-23-90
- КЛИНИКА 1
- КЛИНИКА 2
АДРЕС:г. Минеральные Воды, ул. Горская, 61, 13/14
ВРЕМЯ РАБОТЫ:пн-пт 7:30 – 18:00
сб 7:30 – 17:00 / вс 8:30 – 15:00
ТЕЛЕФОН:(87922) 6-59-29
+7 (938) 302-23-88
АДРЕС:г. Минеральные Воды, проспект 22 Партсъезда 141А
ВРЕМЯ РАБОТЫ:пн-пт 7:30 – 18:00
сб 7:30 – 17:00
ТЕЛЕФОН:+79383410322
- КЛИНИКА 1
- КЛИНИКА 2
АДРЕС:г. Ессентуки, ул. Володарского, 32
ВРЕМЯ РАБОТЫ:пн-пт 7:30 – 18:00
сб 7:30 – 14:30 / вс 8:30 – 13:00
ТЕЛЕФОН:(87934) 6-62-22
+7 (938) 316-82-51
АДРЕС:г.Ессентуки, ул.Октябрьская 459 а
ВРЕМЯ РАБОТЫ:пн-пт 7:30 – 16:00
сб 7:30 – 14:30
ТЕЛЕФОН:(87934) 99-2-10
+7 (938) 300-75-28
АДРЕС:г. Георгиевск, ул. Ленина, 123/1
ВРЕМЯ РАБОТЫ:пн-пт 7:30 – 18:00
сб 7:30 – 14:00
ТЕЛЕФОН:+79283630121
- КЛИНИКА 1
- КЛИНИКА 2
АДРЕС:г. Благодарный, ул. Первомайская, 38
ВРЕМЯ РАБОТЫ:пн-пт 7:30 – 18:00
сб 7:30 – 13:00 / вс 8:30 – 13:00
ТЕЛЕФОН:+7 928-307-01-30
АДРЕС:г. Благодарный, переулок Школьный, д. 35
ВРЕМЯ РАБОТЫ:пн-пт 7:30 – 18:00
сб 7:30 – 13:00
ТЕЛЕФОН:+7 928-307-01-30
АДРЕС:г. Светлоград, ул. Пушкина, 19 (Центр, Собор)
ВРЕМЯ РАБОТЫ:пн-пт 7:30 – 18:00
сб 7:30 – 13:00 / вс 8:30 – 13:00
ТЕЛЕФОН:(86547) 40-1-40
+7 (928) 363-81-41
АДРЕС:с. Донское, ул. 19 Съезда ВЛКСМ, 4 А
ВРЕМЯ РАБОТЫ:пн-пт 7:30 – 18:00
сб 7:30 – 13:00
ТЕЛЕФОН:(86546) 34-330
+7 (928) 363-81-25
АДРЕС:г. Новоалександровск, ул. Гагарина, 271 (пересечение с ул. Пушкина)
ВРЕМЯ РАБОТЫ:пн-пт 7:30 – 18:00
сб 7:30 – 13:00
ТЕЛЕФОН:8(86544) 5-46-44
+7 (928) 363-81-45
АДРЕС:с. Александровское, ул. Гагарина, 24
ВРЕМЯ РАБОТЫ:пн-пт 7:30 – 18:00
сб 7:30 – 13:00 / вс 8:30 – 13:00
ТЕЛЕФОН:(86557) 2-13-00
+7 (928) 363-81-35
АДРЕС:с. Кочубеевское, ул. Братская, 98 (ТЦ «ЦУМ»)
ВРЕМЯ РАБОТЫ:пн-пт 7:30 – 18:00
сб 7:30 – 13:00 / вс 8:30 – 13:00
ТЕЛЕФОН:(86550) 500-22
+7 (928) 363-81-42
АДРЕС:г. Железноводск, ул. Ленина, 127
ВРЕМЯ РАБОТЫ:пн-пт 7:00 – 17.30
сб 7:00 – 12:30
ТЕЛЕФОН:(87932) 32-8-26
+7 (928) 363-81-30
АДРЕС:с. Арзгир, ул. Кирова, 21 (Рынок)
ВРЕМЯ РАБОТЫ:пн-пт 7:30 – 14:00
сб 7:30 – 13:00
ТЕЛЕФОН:(86560) 31-0-41
+7 (928) 363-81-44
АДРЕС:г.Ипатово, ул. Ленинградская, 54
ВРЕМЯ РАБОТЫ:пн-пт 7:30 – 18:00
сб 7:30 – 13:00
ТЕЛЕФОН:8 (86542) 5-85-15
8 (938) 347-42-16
АДРЕС:ст. Курская, ул. Калинина, д. 188
ВРЕМЯ РАБОТЫ:пн-пт 7:30 – 18:00
сб 7:30 – 13:00
ТЕЛЕФОН:8(87964) 5-40-10
8(938) 347-43-29
АДРЕС:ст. Ессентукская, ул. Павлова, 17
ВРЕМЯ РАБОТЫ:пн-пт 7:30 – 18:00
сб 7:30 – 14:30
ТЕЛЕФОН:8 (87961) 6-61-00
8 (938) 347-42-18
- Новоселицкое NEW
- Степное NEW
- Грачевка NEW
- Ачикулак NEW
- Курсавка NEW
- Новопавловск
- Изобильный
- Кисловодск
- Пятигорск
- Ставрополь
- Невинномысск
- Нефтекумск
- Буденновск
- Зеленокумск
- Минеральные Воды
- Ессентуки
- Георгиевск
- Благодарный
- Светлоград
- Донское
- Новоалександровск
- Александровское
- Кочубеевское
- Железноводск
- Арзгир
- Ипатово
- Курская
- Ессентукская
Синдром Эдвардса на УЗИ — кисты сосудистых сплетений
На ранних сроках синдром Эдвардса на УЗИ заподозрить крайне трудно, однако в 12 недель беременности уже выявляют характерные для него симптомы косвенного характера
- Признаки задержки развития плода
- Брадикардия (снижение у плода частоты сердечных сокращений)
- Омфалоцеле (наличие грыжи брюшной полости)
- Отсутствие визуализации косточек носа
- В пуповине одна, а не 2 артерии
Также на УЗИ могут быть обнаружены кисты сосудистых сплетений, представляющих собой полости с содержащейся в них жидкостью. Сами по себе они не несут угрозу для здоровья и исчезают к 26–недельному сроку беременности. Однако такие кисты очень часто сопровождают различные генетические заболевания, например, синдром Эдвардса (в данном случае кисты обнаруживаются у 1/3 детей, страдающих этой патологией), поэтому при обнаружении таких кист врач направит беременную женщину на обследование в генетическую консультацию.
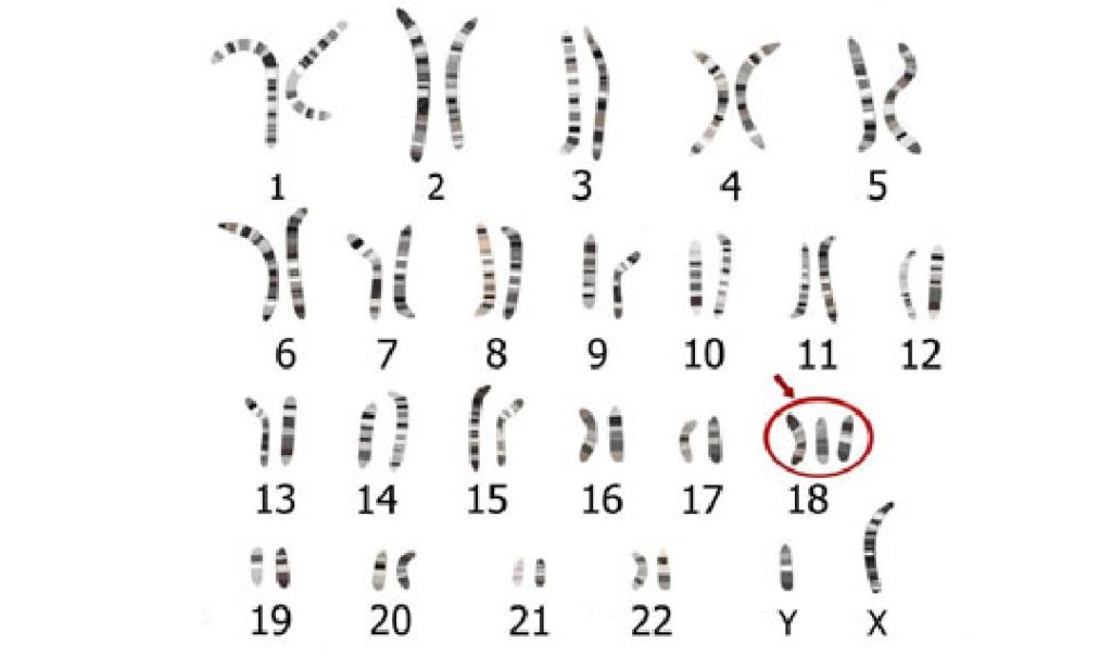
Как расшифровать результат анализа
Нормальный хромосомный набор человека содержит 46 хромосом, 2 из которых половые – XX или XY. Поэтому нормальный хромосомный набор здорового человека обозначается:
- 46,XY – у мужчины;
- 46,XX – у женщины.
Для удобства каждой хромосоме присваивается определенный номер. Это нужно, чтобы в дальнейшем было понятно, где находится дефект. Длинное хромосомное плечо обозначают буквой q, а короткое – t.
Поэтому, например, дефект на 5 хромосоме у женщины обозначается 46XX5t, где 46ХХ указывает на женский хромосомный набор, а обозначение 5t говорит, что пострадало короткое плечо 5 хромосомы. Такая генетическая аномалия называется синдромом кошачьего крика. Больные дети имеют особое строение гортани, поэтому не плачут, а издают звуки, похожие на мурлыканье кошки. Заболевание сопровождается изменением черт лица и умственной отсталостью.
Как проявляется синдром у ребенка?
Признаки синдрома Эдвардса можно разделить на несколько больших групп:
К первой группе относятся симптомы, характерные для внешнего вида ребенка:
- При рождении низкая масса тела (около 2 100 – 2200 граммов)
- Непропорционально маленькая голова
- Дефекты развития верхней или нижней челюстей (микрогнатия)
- Искажение формы лица и формирование неправильного прикуса
- «Волчья пасть» (расщелина твердого неба) или «заячья губа» (расщелина верхней губы)
- Пальцы кисти сжаты, в кулаке располагаются неровно
- Низкая посадка ушей
- Перепончатость или полное слияние пальцев нижних конечностей
- Врожденная косолапость
- «Стопа–качалка»
- Относительно малых размеров ротовая щель (микростомия)
Ко второй группе можно отнести признаки нарушения работы внутренних органов, моторики и нервно–психического развития:
- Наличие врожденных пороков сердца, например, открытого овального отверстия, дефекта межжелудочковой перегородки, открытого артериального протока и т.п.
- Развитие паховых или пупочных грыж.
- Органы пищеварения: гастроэозофагиальная рефлюксная болезнь, нарушение глотательного и сосательного рефлекса, атрезия пищевода или заднего прохода, меккелев дивертикул, нарушение расположения кишечника.
- Центральная нервная система: задержка нервно–психического развития, умственная отсталость, недоразвитость мозжечка, мозолистого тела, сглаживание или атрофия мозговых извилин.
- Мочеполовая система: крипторхизм, гипоспадия у мальчиков, гипертрофия клитора, недоразвитость яичников у девочек, независимо от пола — подковообразная или сегментированная почка, удвоение мочеточников.
- Косоглазие, сколиоз, атрофия мышц.
Как же быть в данном случае?
Благодаря современным научным разработкам появилась альтернатива. Это прямой неинвазивный метод диагностики хромосомных аномалий. Разница заключается в том, что материал для исследования получают не из клеток плода, а из крови матери.
Кровь забирается из локтевой вены как при обычном биохимическом анализе. Диагностику можно проводить на любом сроке беременности начиная с 10 нед. Срок ожидания результата 12 дней
Достоверность метода более 99% (акцентирую внимание – речь идет о диагностике хромосомных аномалий, морфологические нарушения эмбриогенеза мы можем увидеть только на УЗИ)
К сожалению, пока данные анализы приходится проводить в лабораториях США, поэтому стоимость их достаточно высока, но в скором времени они будут выполняться в России и, надеюсь, станут более доступны для наших сограждан.

Признаки и симптомы
Сжатая рука и пальцы перекрывают друг друга: указательный палец перекрывает третий палец, а пятый палец перекрывает четвертый палец, что характерно для трисомии 18. Это вызвано врожденным суставом. контрактура.
Дети, рожденные с синдромом Эдвардса, могут иметь некоторые или все из этих характеристик: пороки развития почек, структурные пороки сердца при рождении (т. Е. дефект межжелудочковой перегородки, дефект межпредсердной перегородки, открытый артериальный проток ), кишечник, выступающий за пределы тела (омфалоцеле ), атрезия пищевода, Интеллектуальная недееспособность, задержка развития, дефицит роста, трудности с кормлением, затрудненное дыхание, и артрогрипоз (мышечное заболевание, вызывающее множественные суставные контрактуры при рождении).
Некоторые физические пороки развития, связанные с синдромом Эдвардса, включают маленькую голову (микроцефалия ) в сопровождении выступающей задней части головы (затылок ), низко посаженные, деформированные уши, аномально маленькая челюсть (микрогнатия ), заячья губа /волчья пасть, вздернутый нос, узкие веки (блефарофимоз ), широко расставленные глаза (глазной гипертелоризм ), опущение верхних век (птоз ), короткая грудина, сжатые руки, кисты сосудистого сплетения, недоразвитые пальцы и / или ногти, отсутствующий радиус, лямка второго и третьего пальцев стопы, косолапость или же коромысла, а у мужчин неопущенные яички.
В утробе, наиболее частой характеристикой являются сердечные аномалии, за которыми следуют Центральная нервная система аномалии, такие как аномалии формы головы. Наиболее распространенной внутричерепной аномалией является наличие кист сосудистого сплетения, которые представляют собой карманы жидкости в головном мозге. Сами по себе они не вызывают проблем, но их наличие может быть маркером трисомии 18. Иногда избыток амниотическая жидкость или же многоводие выставляется. Хотя синдром Эдвардса встречается редко, он вызывает большую часть внутриутробных случаев Порок развития Денди-Уокера.
Диагностика после рождения
Синдром Эдвардса у новорожденных обнаруживают по таким признакам:
- небольшой вес новорожденного
- микроцефалия
- волчья пасть или заячья губа
- поперечная ладонная борозда
- неразвитая на пальцах дистальная сгибательная складка
- дистальное расположение осевого трирадиуса и увеличение гребневого счета на ладони
- дуги на подушечках пальцев рук
Но эти признаки еще не говорят о том, что у ребенка именно синдром Эдвардса. Диагноз нуждается в подтверждении. Для этого применяют выше упомянутый метод КФ-полиплазменной цепной реакции, чтобы определить каропин новорожденного. УЗИ показывает кисты сосудистых сплетений у младенца.
Что такое анализ на кариотип
Исследование кариотипа (кариотипирование) направлено на оценку количества и структуры (морфологии) хромосом, находящихся в метафазной стадии цикла деления клеток.
Анализ выполняется для обнаружения анеуплодии, т.е. наличия дополнительных хромосом или отсутствия одной из хромосом, приводящих:
- к нарушениям в количестве генетического материала в клетках;
- структурным аберрациям, т.е. делециям, инверсиям или транслокациям (включая сбалансированные и несбалансированные транслокации), заключающимся в изменении распределения генетического материала в одной или нескольких хромосомах.
Иногда могут возникать отклонения в кариотипе, которые у обремененного ими человека приводят к нарушениям развития или возникновению определенных генетических заболеваний.
ЗАКЛЮЧЕНИЕ
Представленные нами клинические случаи демонстрируют фенотипическое разнообразие синдрома 18р- и 18q-. Общими для всех наших пациентов признаками явились наличие дефицита гормона роста, дисморфия лица и задержка речевого развития.
Врожденный гипопитуитаризм представляет собой большую опасность, особенно в неонатальном периоде, так как дефицит кортизола, равно как и дефицит гормона роста, могут приводить к развитию тяжелых рецидивирующих гипогликемий у детей в первые дни и месяцы жизни. Наличие гипогликемического синдрома в период новорожденности в сочетании с холестазом является абсолютным показанием для проведения исследования тропных гормонов гипофиза, позволяющего в максимально ранние сроки верифицировать диагноз и своевременно начать заместительную гормональную терапию.
Врожденный гипопитуитаризм может иметь различную этиологию. Наличие стигм дисэмбриогенеза у детей с полным или частичным выпадением тропных гормонов гипофиза должно служить поводом к проведению кариотипирования или хромосомного микроматричного анализа для исключения патологии 18 хромосомы.





































